Project Summary

Infertility is a major and widespread reproductive health issue where males are estimated to contribute in approximately half of the overall infertility cases. Male infertility is a multifactorial, complex, and increasingly common reproductive health condition. Genetic factors are increasingly recognized as a major players in the pathophsiology of male infertility disorders, yet the causal relationships between genetic variation and male infertility phenotypes are understudied. Among the known monogenic causes of male infertility, clinically acknowledged causal relationship has been established between Dcaf17 (DDB1- and CUL4-associated factor 17) gene mutations and hypogonadism. In human, mutations in Dcaf17 gene cause a rare autosomal recessive disease called Woodhouse-Sakati Syndrome (WSS) that is presented with mental retardation and endocrine manifestation including diabetes and hypogonadism. Deletion of Dcaf17 gene in mouse caused male infertility due to defective spermatogenesis resulting in abnormal sperm production with a phenotype similar to oligoasthenoteratozoospermia. DCAF17 is a member of DCAF family proteins that encode substrate receptors for Cullin4-based RING E3 ubiquitin ligase complexes and recruit target proteins for ubiquitination.

Protein ubiquitination is a major and highly conserved post-translational modification of cellular proteins that regulates many aspect of cellular and molecular functions in different biological processes including spermatogenesis. Spermatogenesis is a complex, dynamic and precisely regulated process of sperm production in the seminiferous tubules of the testes. Underlying regulatory role of DCAF17 during spermatogenesis is not clear.

Our overall research goal is to investigate potential role of DCAF17 in normal sperm production and male fertility. Particularly we are interested in exploring the exact nature and the cascade of molecular actions of DCAF17 during different stages of spermatogenesis process by employing powerful genomics, proteomics and molecular biology approaches using genetically engineered mouse models. We strongly believe that our research will not only produce fundamental knowledge on the molecular mechanisms controlling spermatogenesis in order to better understand the genetic causes of male infertility, but it will also lead us to develop new and effective tools for diagnosis and treatment of male infertility.

Collaborators

Fowzan Alkuraya, Ayodele Alayia. Dilek Colack, Anas Abdulrhman, Junaid Kashir.

Figures

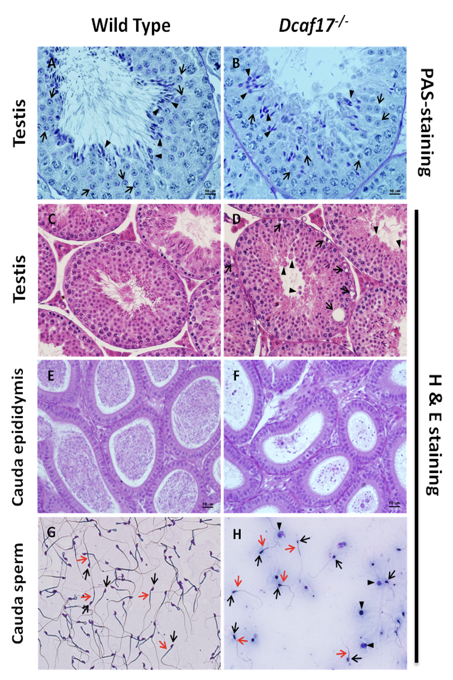
Fgure01 Investigating the Role of Dcaf17 Gene in Mice Spermatogenesis
Histological evaluation of testes, cauda epididymis and cauda sperm from 8 weeks old wild type and Dcaf17-/- mice.
Figure02 Investigating the Role of Dcaf17 Gene in Mice Spermatogenesis
Bright field (Diff-Quick staining) and fluorescence microscopy (MitoTracker staining) of cauda epididymal sperm from WT and Dcaf17−/− adult mice. (Figure from Ali, A., Mistry, B.V., Ahmed, H.A. et al. Deletion of DDB1- and CUL4- associated factor-17 (Dcaf17) gene causes spermatogenesis defects and male infertility in mice. Sci Rep 8, 9202 (2018).
Beta Version